
你长过智齿吗?近年来,随着人们护牙意识的提高,越来越多的人在长出智齿之后,选择去医院拔掉。然而,拔智齿的过程是痛苦的,而且费用也不菲。
这不免让人产生很多疑问:智齿到底是什么?长出来就一定要拔掉吗?
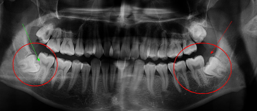
为什么医生都劝你拔智齿?
智齿,相传是智慧的牙齿。因为智齿通常出现在16-25岁的年龄,这一年龄段,人的生理和心理都接近成熟,所以智齿的出现,也被视为智慧的象征。
智齿位于上下左右牙槽的最后位置,从正中的门牙往里数第八颗。上古时期,人类的咬合能力很强,智齿可以萌出。

随着人类的进化,下颌骨变窄,牙齿的数量却没有及时退化减少,导致智齿无处可去,出现萌出困难的问题。不同的人,长智齿的情况也不一样。
有的人不长智齿,有的人长两三个智齿。有的人智齿长得很正,有的人智齿长得很歪。大多数情况下,除非智齿长得很端正,不会影响你的正常生活,不然一般医生都会建议拔掉智齿,否则会带来隐患。
比如,引起肿胀、疼痛、龋坏等,轻则损坏旁边的邻牙,引起周围的牙肉发炎肿胀,导致口臭,重则引发咬合功能障碍,使颞下颌关节紊乱。
一般来说,以下7种类型的智齿要尽快拔掉(具体见下图):
1.垂直阻生型智齿
2.远中阻生型智齿
3.近中阻生型智齿
4.水平阻生型智齿
5.颊向阻生型智齿
6.舌向阻生型智齿
7.倒置阻生型智齿

有的时候,即使是长得端正的智齿,也要拔掉,比如有正畸的需要、不明原因的咬合紊乱或者颞下颌关节紊乱等。

拔智齿需要注意哪些事项?
拔智齿之前,医生会仔细询问身体状况,并提醒你哪些情况下不适合拔智齿,否则会造成大出血,引发感染。
通常在月经期的女性、孕妇、高血压患者、心脏病患者、甲亢患者等人群,或者出现其他身体不适的人群,医生都建议暂时不拔智齿。
一旦长了智齿,就要尽快拔掉。拔智齿的最佳年龄是13-30岁,比较容易恢复。如果过了30岁再拔智齿,对牙齿的创伤会很大,而且可能因为存在高血压、糖尿病等慢性疾病,无法彻底根除问题,严重影响生活质量。
有的人长了智齿之后迟迟不愿意去拔,一方面是拔智齿需要的费用不低,另一方面是怕疼。其实,拔智齿多数情况下是不疼的,因为拔智齿之前医生会进行麻醉。
出现疼痛的原因,一是麻药没打好,二是拔智齿时留下了创口。拔完智齿,如果出现轻微的疼痛感,可以用冰敷,或者口含冷开水,防止伤口肿胀。
如果疼痛感比较严重,必要时可以服用止痛药,缓解疼痛。日常生活中,要保证充足的睡眠,也可以多喝果汁,补充维他命C,促进伤口的愈合。

补充阅读:人类的牙齿为啥越来越脆弱?
以前,人类茹毛饮血,牙齿也很坚硬,而且很少出现牙齿疾病。如今,饮食逐渐精细化,人类的牙齿反而越来越脆弱了,牙齿疾病的发病率也越来越高。
为什么人类的牙齿越来越脆弱了呢?原因可能与人类不断进化有关,随着环境条件的变化,牙齿受到的压力、可能的磨损、口腔内的某些化学物质和细菌等也发生了变化。
但是,牙齿的结构无法快速适应这种变化,就会被损害,引起龋齿、智齿阻生及其他牙颌问题。目前,常见的牙齿疾病有牙周炎、牙龈炎等牙周疾病,以及龋齿等。
牙周疾病的发生,与齿垢和牙石在牙龈线上不断累积,引起发炎有关,需要养成良好的口腔保健习惯,定期去口腔医院洗牙。
龋齿就是蛀牙或虫牙,喜食高糖食物、刷牙不规律等坏习惯,都会引起龋齿。预防龋齿,应该合理饮食,少吃高糖食物,还要规律刷牙,使用含氟牙膏进行牙齿保健等。

生活水平越来越高了,人们对牙齿保健的关注也越来越多。很多人由于不良饮食习惯、不定期清洗牙垢等原因,长了一口“坏牙”。
牙齿不好,不仅影响我们的外在形象,也不利于健康。保护牙齿,从现在开始吧!
参考资料:
[1]《你的智齿应该拔么?看完这篇,你就更糊涂了》.知乎.野生牙医.2017-06-13
[2]《为什么智齿要在上午拔?》.知乎.种植牙博士罗维.2019-04-20
[3]《人类牙齿为何如此脆弱》.光明日报.2020-07-02