


掌握 CT 影像之间的差别,就能快速鉴别不同的病原菌感染,对疾病的诊疗有很大的帮助。但是影像鉴别,也是难点。
⏰ 考试时间
以下肺部 CT 的影像,你能识别出几个?
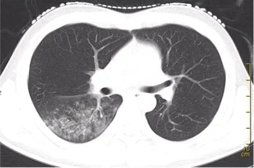
第一题:如下图所示,病变表现为肺实质炎症,贴近脏层胸膜或者叶间裂,有支气管充气征。

一
第一题答案:肺炎链球菌肺炎,通常也被称为大叶性肺炎。
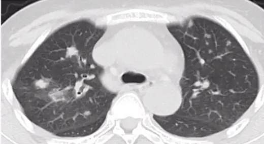
第二题:如下图所示,病变表现为肺实质病变,伴有蜂窝状改变。

二
第二题答案:肺炎克雷伯菌肺炎,痰液粘稠,有蜂窝状改变。
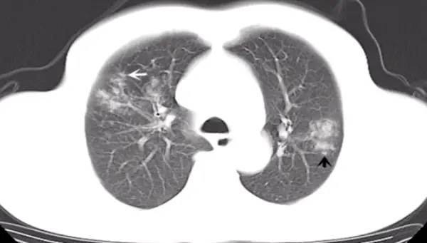
第三题:如下图所示,病变表现为双肺多发斑片、磨玻璃影。可见小叶中心结节、树芽征。

三
第三题答案:金黄色葡萄球菌肺炎,常表现为小叶性肺炎。
第四题:如下图所示,病变表现为右下肺云雾样浸润影。

四
第四题答案:支原体肺炎,天气温暖时易发病,通常支气管受累。
第五题:如下图所示,病变表现为大小不等的肺结节,结节周围有晕征,结节内有空洞。

五
第五题答案:侵袭性肺曲霉病,曲霉侵犯血管后出血会造成晕征。
看完以上几张影像图,有没有觉得自己在识图方面还不够炉火纯青?
同影异病,同病异影,让很多医生摸不着头脑。其实这些影像表现都是有规律、有迹可循的,看的多、学得多了,就会成为厉害的 CT 秒杀大神!